- ホーム >
- すきっ歯・正中離開・空隙歯列 >
- 歯列矯正の症例
歯列矯正での症例
すきっ歯(正中離開、空隙歯列)
すきっ歯(正中離開、空隙歯列)を歯列矯正で治療した症例
歯列矯正は歯に直接装置を取り付け、ゆっくりと歯を移動させて歯並びや噛み合わせを整えていきます。期間が長いことと装置に慣れるまで少し時間を要しますが、歯を削らずに治療できるのが大きな特徴です。
歯列矯正は、顎の骨に異常がない限り、年齢に関係なく治療が可能で、むしろ歯に対する意識の高まりとともに20才以上の成人矯正が盛んに行われています。
ケース1 すきっ歯+開咬
全体に隙間が空いてしまっている空隙歯列のすきっ歯+開咬(オープンバイト)の治療例です。歯列矯正の結果、歯並びが綺麗に整いました。

ケース2 すきっ歯+出っ歯
前歯の真ん中が空いている正中離開のすきっ歯と、出っ歯(上顎前突)の治療例です。前歯の隙間と出ているのがどちらも改善されました。

ケース3 すきっ歯+出っ歯
こちらも前歯の真ん中が空いている正中離開のすきっ歯と、出っ歯(上顎前突)の治療例です。隙間がきれいになくなりました。

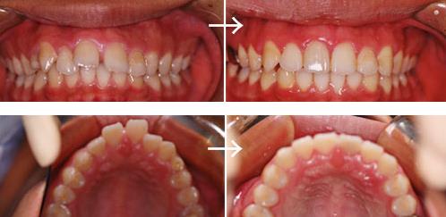
ケース4 すきっ歯
隙間が大きくラミネートベニアが適用できないケースや歯を削りたくない場合は、歯列矯正ですきっ歯を治します。

ケース5 すきっ歯+出っ歯
すきっ歯と出っ歯を歯列矯正で治療しました。
