- ホーム >
- ラミネートベニアですきっ歯を治す
ラミネートベニア
Laminated Veneer

ラミネートベニア法なら最短2日の来院ですきっ歯は治ります
ラミネートベニアは患者に優しい治療です
1.治療期間が短い
ラミネートベニアの治療は、来院2回で終了します。そのため最短で1週間程で歯並びを改善できます。

2.痛みがない
ラミネートベニアの装着の際、歯を削りますが、わずか0.5mmという痛みを感じない範囲で薄く薄く削ります。麻酔なしでも痛みを感じることはありませんので、麻酔が苦手な方も心配いりません。

3.からだに優しい
使用するセラミック素材は歯ぐきにやさしく、自然で丈夫。磨耗や変色の心配もありません。金属アレルギーの方も安心してつけられます。また、見た目も強度も天然の歯と変わらないようにつくることができます。

どういう治療法なの?
ラミネートベニア法とは、歯を0.5mm程薄く削り、その表面に人工で作成したセラミックのシェルを接着する方法です。


安心の10年保証
せっかくつけたのにすぐダメになってしまなわないか心配…ウメダデンタルクリニックは安心の10年間保証です。
セラミックという素材はとても長持ちをする素材です。きちんとメンテナンスをして大切に使いましょう。
10年保証の間は、半年に一回、無料定期検診を受けることができます。
<定期検診の内容>
・ラミネートベニアの適合チェック
・咬み合せの調整
・プラークコントロールの評価
・カリエスチェック等

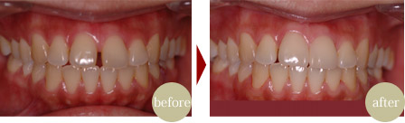
ラミネートベニアですきっ歯を治した症例
ラミネートベニアですきっ歯を治療した症例です。来院2回(治療期間2回)。
ラミネートベニアが浮いてしまわないよう、隣の天然歯と同様の色や形にして違和感のない口元にいたします。
またラミネートベニアは1本から治療可能です、気になるところだけ治療するだけでも印象は全く変わります。
症例1

症例2

症例3

症例4

症例5

症例6

症例7

症例8

症例9

症例10

症例11

症例12

症例13 すきっ歯

- 【主訴】すきっ歯を治したい
- 【期間】2回
- 【費用】ラミネートべニア2本、19.8万円(税込)










