- ホーム >
- 出っ歯、上顎前突の症例 >
- 歯列矯正の症例
歯列矯正での症例
出っ歯・上顎前突・歯ぐき
出っ歯(上顎前突)を歯列矯正で治療した症例
歯列矯正は歯に直接装置を取り付け、ゆっくりと歯を移動させて歯並びや噛み合わせを整えていきます。期間が長いことと装置に慣れるまで少し時間を要しますが、歯を削らずに治療できるのが大きな特徴です。
歯列矯正は、顎の骨に異常がない限り、年齢に関係なく治療が可能で、むしろ歯に対する意識の高まりとともに20才以上の成人矯正が盛んに行われています。
ケース1
出っ歯とすきっ歯の症状をワイヤー矯正で治療しました。

ケース2
出っ歯と乱杭歯(叢生)の症状が見られましたので、ワイヤー矯正で治療しました。治療期間は約3年間で、治療後は前に出ていた前歯と不揃いだった歯並びも改善されました。

ケース3
出っ歯を歯列矯正で治療いたしました。矯正後は上顎の歯の角度も丸くなり、前歯を下げることができました。

ケース4
前歯と歯ぐきが大きくせり出していましたので、歯列矯正で治療いたしました。矯正後はとてもきれいな歯並びになりました。

ケース5
出っ歯+らんぐい歯の症例でしたが、治療で整った歯並びになりました。

ケース6
前歯2本が大きくゆがんで出っ歯になってしまっていましたが、歯列矯正で、はぐきの歪みと出っ歯を治療しました。

ケース7
出っ歯+らんぐい歯(歯並びがデコボコと乱れた状態)でしたが、歯列矯正で全体的にきれいな歯並びとなりました。

ケース8
出っ歯+すきっ歯(上顎前突+正中離開)の症例ですが、歯列矯正で出っ歯もすきっ歯も改善できました。

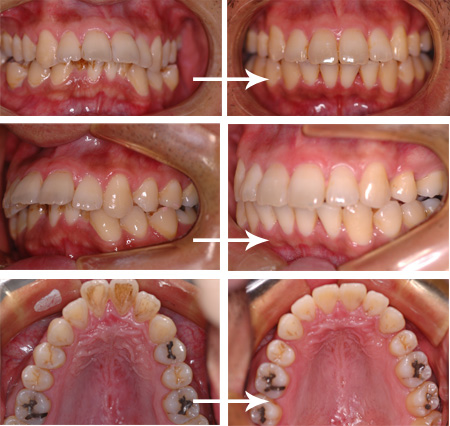
ケース9
出っ歯の症例です。歯列矯正で、せり出した前歯がきれいな歯並びになったのが3枚目の写真からもわかります。
