- ホーム >
- 出っ歯、上顎前突の症例 >
- 差し歯(オールセラミッククラウン)・ラミネートの症例
差し歯(セラミッククラウン)・ラミネートでの症例
出っ歯・上顎前突・歯ぐき
出っ歯(上顎前突)を差し歯で治療した症例
セラミックスクラウン法(差し歯)とは、歯を全体的に削り、そこにセラミックのクラウンを被せる方法です。歯並びだけでなく歯の色、形をトータルに改善することができます。審美的効果が高く、歯列矯正に比べて短期間で治療が完了します。
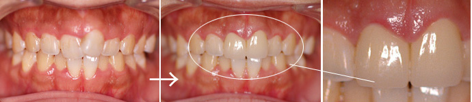
ケース1
前歯の前突2本をオールセラミッククラウンで治療した例です。右の歯は特に前に出ていました。部分矯正でも可能な症例ですが、装置が苦手な方はこのようにセラミッククラウンで治療できます。

ケース2
ねじれて前突している前歯2本をオールセラミッククラウンにしました。歯が大きく見えるのを気にされていましたので、位置を整えて歯の大きさも調整しました。前歯2本の目立つ感じがなくなり自然な感じになりました。

ケース3
出っ歯とすきっ歯のお悩みで来院した患者様です。隙間だけならラミネートベニアで治療できますが、前突も気になるとのことで、前歯2本をオールセラミッククラウンにしました。
治療期間は、2~3ヶ月。通院回数は8~10回(一週間に約1回)です。

ケース4
前歯2本がねじれてしまっている、また歯が前突しているため歯の先が欠けてしまっていました。オールセラミッククラウンの差し歯で治療完了。仕上がりも自然になりました。

ケース5
前歯1本がねじれてしまっていたケースです。オールセラミッククラウンの差し歯治療で自然な歯並びになりました。セラミッククラウンは短期間で歯並びの改善が可能です。

ケース6
前歯1本が前に出てしまっていたのにお悩みでしたが、オールセラミッククラウンの差し歯に治療しました。 隣の天然の歯と区別がつかない、丈夫で美しい仕上がりになりました。

ケース7
こちらも前歯1本がねじれて前にでてしまっていたケースです。前歯1本だけにお悩みの方は多くいらっしゃいますが、セラミッククラウンで治療することで短期間で解決することができます。

ケース8
出っ歯+すきっ歯(上顎前突+正中離開)を治療いたしました。前歯2本をオールセラミッククラウンにすることで、歯並びも自然に見えます。
